ZADAH IZ USTA
Neprijatan zadah iz usta (halitosis, oral malodor, foetor ex ore) predstavlja veliki problem savremenog čoveka. Reč je o neprijatnoj pojavi, ne samo za osobe kod kojih se javlja, već i za njihovo okruzenje. Najverovatnije da sami nečete primetiti neprijatan zadah iz usta, več če vas o tome obavestiti porodica ili kolega
Kod osetljivih osoba, ta uporna i dugotrajna bolest ostavlja duboke i neugodne posledice
– blaže ili teže oblike depresije
– pa čak i izbegavanje društva i potištenost
Neprijatan zadah iz usta uzrokuju brojni fiziološki i patološki faktori
- Hrana, pušenje
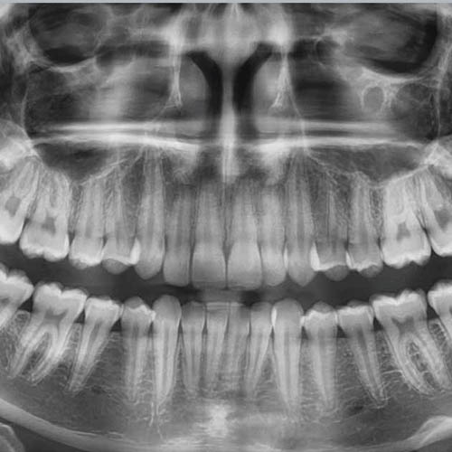
- Karijes zuba, oboljenja desni
- Oboljenja sinusa i disajnih puteva
- Dijabetes, leukoza
- Upotreba pojedinih lekova…
U najvećem broju slučajeva može se eliminisati održavanjem dobre oralne higijene
UZROCI LOSEG ZADAHA
Zadah najčešće potiče iz usta, s površine jezika, ispod linije zubnog mesa. Između zuba i ostalih teško dohvatljivih mesta,a kao posledica loše oralne higijene. Sve bolesti disajnog sistema utiču na dah, jer je nos povezan s usnom šupljinom
Na zadah utiče i način ishrane.
Interesantno je da kod pojedinih osoba glad može da prouzrokuje zadah koji prestaje nakon jela. Ukoliko se hranite pretežno mastima i proteinima, a sa malo ugljenih hidrata. Zadah se može javiti zbog produkata njihovog raspadanja u crevima.
Unošenje nekih namirnica prouzrokuje karakterističan zadah
Razlog tome je što se miris hrane pretežno eliminiše iz organizma preko pluća, pa je prisutan pri svakom izdisaju
Zbog sličnog načina eliminacije preko pluća, neki lekovi takođe remete dah.
Miris leka oseća se posle korišćenja pojedinih antibiotika, hloralhidrata, joda i morfijumskih preparata.
Najjednostavniji nacin da utvrdite da li imate los zadah
Liznete unutrasnju stranu rucnog zgloba, sačekate nekoliko sekundi, a onda pomirišete.
Svakako povodom ovog problema prvo čete se javiti svom stomatologu
Ako se dentalna oralna higijena ne održava redovno. Ako se ne peru zubi i ako se ne koristi zubni konac.
Ostaci hrane se zadržavaju uzrokujući proizvodnju bakterija između zuba, oko desni i na jeziku.
To uzrokuje loš zadah.
Tečnost za ispiranje usta takođe može da pomogne u redukovanju bakterija.
Pušenje ili žvake na bazi duvana mogu biti krivci za loš zadah kao i mrlje na zubima. Iziritirane desni ili smanjenje čula ukusa
Loš zadah koji je istrajan ili loš ukus u ustima mogu biti upozoravajući znak periodontalnih bolesti (bolesti desni)
Njih uzrokuje nagomilavanje plaka na zubima i stvaranje bakterija koje proizvode toksine koji iritiraju desni.
Ako se to stanje ne leči na vreme, može trajno oštetiti i desni i vilicu.
Problemi sa zadahom mogu nastati i usled lošeg naleganja dentalnih nadoknada kao što su krunice i mostovi, ili nastankom karijesa
Suva usta (xerostomia) takođe mogu izazvati neprijatan zadah. Pljuvačka je neophodna kako bi ovlažila usta. Neutralisala kiseline koje proizvodi plak, i sprala mrtve ćelije koje se nagomilavaju na jeziku, desnima i sluzokoži usta. Ako se ne uklone, ove ćelije će se raspadati i izazivati loš zadah. Suva usta mogu biti sporedni efekat nekih lekova, problema sa pljuvačnim žlezdama ili stalnog disanja na usta.
Ljudi koji pate od suvih usta mogu imati poteškoće u pričanju, gutanju i osećaj gorenja u ustima kao i suve oči.
Takodje, postoje i razna druga oboljenja koja se vezuju sa neprijatnim zadahom.
Zadah se javlja i posle vađenja zuba, ili drugih oralno hirurških intervencija, a zbog raspadanja krvnog koaguluma. On postoji kod osoba sa ulceracijama u ustima (afte, herpetični stomatitis i druge virusne infekcije usta), ili nekrozom (AIDS, leukoze).
Kariozni i polomljeni zubi, zaostali korenovi i parodontalni džepovi odlično su mesto za zadržavanje hrane, koja se vremenom raspada što stvara vrlo neugodan miris.
Kako otkloniti neprijatan zadah?
Četiri jednostavna saveta za efikasno uklanjanje zadaha
1. Barem dva puta dnevno očistite donju stranu jezika, jer se tu razvijaju bakterije koje prouzrokuju zadah. To se može učiniti četkicom za zube i pastom obogaćenom fluorom
2. Upotrebljavajte redovno vodice za ispiranje usta koje sadrži hlordioksid. Vodice bez te hemikalije ne ubijaju bakterije. Odlično sredstvo za ispiranje je i kantarion.
3. Jedite čvrstu hranu kao što je presno povrće, jer ona izaziva trenje u ustima i tako uspeva da „sastruže” bakterije sa jezika
4. Ne treba preskakati obroke, jer kada se to čini, jedinjenja koja se zovu ketoni nagomilavaju se u krvi i izlaze na usta sa izuzetno neprijatnim mirisom
Postoji niz mogućnosti otklanjanja zadaha, a sve se svodi na otkrivanju njegovog uzroka
Ukoliko je prouzrokovan nekim sistemskim oboljenjem, moguće ga je ukloniti jedino lečenjem osnovnog oboljenja
Ako se patološki proces nalazi u usnoj šupljini, ili su razlog za nastanak zadaha pokvareni i polomljeni zubi, treba se što pre obratiti stomatologu
Ukoliko je uzrok loša oralna higijena, duvan ili alkohol, prestajanjem sa ovim lošim navikama rešićete se i zadaha.
Rastvori za ispiranje usta često sadrže alkohol koji može dodatno isušivati usnu duplju, pa se savetuje upotreba bezalkoholnih preparata
Biljni lekovi koji se mogu koristiti za ispiranje usta su: čaj od žalfije, nane, kantariona, a šoljica zelenog ili crnog čaja osvežava dah jer sadrži polifenole koji sprečavaju nastanak bakterija, uzročnika zadaha
Za održavanje zubne higijene važno je i kakve četkice za zube koristimo. Preporučuje se upotreba interdentalnih četkica (za čišćenje prostora između zuba) i oralnih tuševa Waterpika
Kod suvoće usta preporučuje se unošenje što više tečnosti i kiselih sokova (isceđen limun, pomorandža), bombona i druge kisele hrane, da bi se stimulisalo lučenje pljuvačke.
Za uklanjanje zadaha mogu se koristiti različita dezodorantna sredstva u vidu spreja ili vodice za ispiranje usta.
Svež dah je merilo lične higijene i brige o sebi
Stoga, učinite sve što je u vašoj moći da vas i po njemu pamte











